Линия губ — немаловажный фактор
Помимо зубов важную роль в улыбке играют и губы. Даже при самых ровных и белых зубах неухоженные губы испортят всю картину. За губами следует ухаживать так же, как и за кожей лица. Необходимо увлажнять и питать их дважды в день, а один-два раза в неделю использовать нежный скраб для губ. Линия и полнота губ сильно зависят от прикуса, и, если вам не нравится их форма, есть вероятность, что вам нужно посетить ортодонта, чтобы выявить вероятные аномалии прикуса.
Идеальные улыбки знаменитостей
Публичные персоны учатся улыбаться так же, как они учатся произносить речи перед публикой. Существуют упражнения, позволяющие развить мышцы лица, участвующие в улыбке (а их более десятка). Среди них — вытягивание губ в трубочку, выдыхание через нее воздуха, попытки сделать этой трубочкой восьмерку, а также расслабление губ и попытка высунуть язык как можно дальше. Красивую улыбку тренируют перед зеркалом. Уголки губ при этом должны быть симметричны, а напоказ стоит выставлять только десять верхних зубов. Когда запомните положение мышц перед зеркалом, закрывайте глаза и доводите навык до автоматизма.





Идеальная улыбка — это ровные зубы
В случае с неправильным прикусом и положением зубов целесообразно, прежде всего, пройти лечение у ортодонта с помощью брекетов или капы для выравнивания зубов. Сегодня это можно сделать в любом возрасте. В процессе лечения можно выбрать систему, подходящую под ваши эстетические запросы и финансовые возможности. Скажем, металлические брекеты — классика ортодонтии, и даже они с течением времени стали меньше, а значит — незаметнее на зубах. Среди их несомненных плюсов — невысокая цена и непробиваемая надежность. Огромный минус — эстетика, точнее, ее отсутствие. Им противопоставляются эстетические брекеты: керамические и прозрачные брекеты из сапфира. Последние практически незаметны на зубах. Самой эстетичной системой исправления прикуса у взрослых сегодня являются элайнеры Инвизилайн — невидимые накладки на зубы, медленно, но верно двигающие их в нужном направлении.
А потом уже эстетика
К эстетическим процедурам относят те, которые не влияют на функции зубов, а просто делают их привлекательными. Рассмотрим подробнее, что можно предпринять, чтобы улучшить внешний вид зубов.
Художественная реставрация
К ней относится маскировка пломбировочным материалом небольших щелей, сколов, царапин эмали, если не поврежден корень зуба. Художественная реставрация, или, как ее еще иногда называют, «наращивание», это хороший способ скрыть небольшие дефекты тем, кого устраивает натуральный цвет эмали. Цвет эстетической пломбы подбирается под цвет остальных зубов, пломба выглядит естественно. Но ее уже не получится отбелить, поэтому после такой реставрации отбеливание не рекомендуют – натуральная эмаль посветлеет, пломба может начать выделяться.
Отбеливание
Если нравится форма зубов, нет флюороза и других пятен на эмали, но хочется осветлить ее, идеально подойдет отбеливание. В условиях клиники оно полностью безопасно, так как все препараты сертифицированы, используются давно и хорошо изучены.
У отбеливания практически нет рисков, это простая и безвредная процедура
Установка виниров
Если зубы здоровы, прикус правильный, но пациенту не нравится натуральная форма зубов (например, они слишком мелкие) или на эмали есть заметные дефекты, то выходом станет установка виниров.
Современный тренд в установке виниров – белый, но естественный оттенок и имитация текстуры натуральной эмали, чтобы зубы не выглядели «сделанными».
Слишком белые виниры выглядят неестественно
Размер виниров подбирают с учетом индивидуальных особенностей внешности пациента
С помощью подбора толщины пластин можно скорректировать форму губ (виниры на передних резцах чуть приподнимают губы, но здесь важно соблюдать меру, иначе результат будет не натуральным), а с помощью формы – линию десны
Устанавливать можно буквально от одной штуки, если это оправданно, чтобы скрыть какие-то недостатки. Но наилучшие результаты получаются, когда устанавливают виниры на всю зону улыбки (10–12 зубов сверху и столько же снизу).
Виниры лучше всего скроют все недостатки зубов
Последовательно используя все эти технологии, любой человек может получить идеальную улыбку, независимо от исходных данных.
Как сделать идеальную улыбку?
Минимально необходимый набор для идеальной улыбки — зубная щетка, паста, флосс и визиты к стоматологу два раза в год. К сожалению, сегодня мало кто выполняет эти требования, и в достаточно молодом возрасте люди уже страдают заболеваниями полости рта, при которых улыбка далека от идеала. И даже в этом случае стоматологи применяют методы для улучшения эстетики улыбки.
Если вас не устраивает ваша улыбка, стоматолог поможет вам исправить положение. Прежде всего, определите, что именно вам не нравится. В зависимости от проблемы применяются различные методы лечения. В одних случаях достаточно сделать профессиональную гигиену полости рта, в других поможет отбеливание.
Параметры идеальной улыбки
Казалось бы, что может быть проще: белые ровные зубы, полный зубной ряд, отсутствие стоматологических заболеваний — вот и все, что нужно. Но создание идеальной улыбки в стоматологии — целая наука, и врач при этом выступает не как лекарь, а скорее как художник, создающий полноценное произведение искусства. У идеальной улыбки существуют определенные параметры, на которые ориентируется современная эстетическая стоматология.
-
Параллельность горизонтальных линий: глаз, разреза рта, режущих краев передних резцов и воображаемой линии, соединяющей режущие края клыков.
-
Визуальное уменьшение размера зубов от центра к краям, позволяющее создать иллюзию перспективы. При этом соотношение ширины передних резцов, латеральных резцов и клыков составляет 1,6:1:0,6, а ширина передних резцов относится к их высоте как 0,7 — 0,8 к одному. Соединяться передние резцы должны на проекции срединной линии лица, соединяющей середину переносицы и центр подбородка. Кроме того, края верхних зубов должны повторять изгиб нижней губы, а верхняя губа — прикрывать десневую линию зубов, оставляя лишь треугольнички между зубами.
-
При создании идеальной улыбки учитывается также высота вогнутой линии десны вокруг шеек зубов и ее уровень у каждой группы зубов, межзубные углы, которые должны увеличиваться от резцов к молярам, острота углов резцов, которая у мужчин выражена сильнее, чем у женщин, и еще множество параметров. Например, режущие края резцов могут выступать чуть больше — для создания более агрессивного вида. Такая мужская улыбка считается идеальной для сильного пола, ведь она позволяет создать иллюзию силы, успешности, уверенности в себе.

Прежде всего лечение, а не эстетика
Если вас не устраивает внешний вид зубов, любые изменения нужно начинать c посещения стоматолога-терапевта, а не эстетиста. Пока есть функциональные проблемы, переходить к тем процедурам, которые лишь улучшают внешний вид зубов, нельзя.
Поэтому, если зубы неровные, в первую очередь проводят ортодонтическое лечение. Элайнеры – самый современный способ исправления прикуса, ведь они удобны и незаметны. С ними лечение проходит не только быстро, но еще и психологически просто для пациента: не надо привыкать к новым ограничениям, чистке зубов с помощью специальных приспособлений, да и ко внешнему виду конструкции.
Никаких ограничений по возрасту для ношения элайнеров нет: их можно носить детям с того момента, как сформировался постоянный прикус, подросткам и взрослым людям.
В случае, если отдельные зубы отсутствуют, есть два варианта:
- В некоторых случаях можно закрыть щель между соседними зубами с помощью элайнеров, сформировать ровный и плотный ряд зубов и больше ничего не делать. Если не хватало жевательного зуба (5–7-го), то визуально это не будет заметно. Но функционально этот способ не самый лучший, так как может нарушиться симметрия зубных рядов. К тому же так можно скрыть отсутствие максимум одного зуба.
- С помощью ортодонтического лечения подготовить место для имплантации. Затем провести имплантацию. Способ более долгий, но зато и результат – полное восстановление функционала зубов.
Место для импланта подготавливают при ношении элайнеров
Порядок лечения именно такой: сначала исправляют прикус, затем устанавливают импланты. После установки импланта зубы уже не должны двигаться. Импланты рассчитаны на их установку при правильном прикусе (смыкании). Если зубы смыкаются так, что нагрузка при жевании распределена неравномерно, то имплант будет либо недополучать нагрузку, ибо получать чрезмерную. И то и другое недопустимо. Любой опытный врач откажется ставить имплант при нарушении прикуса, так как не сможет дать гарантию на свою работу.
Сколько стоит идеальная улыбка?
Стоимость идеальной улыбки складывается из тех процедур, которые необходимо будет пройти для достижения желаемого результата. Если речь идет о гигиенической чистке и отбеливании, то, в зависимости от методики и уровня клиники, цена колеблется от 10 000 до 37 000 рублей за обе услуги. Если говорить о цене люминиров в Москве, то она начинается от 35 000 за зуб. В зависимости от материала изготовления, стоимость керамических виниров начинается от 3 000 до 50 000 рублей или даже больше. Ортодонтическое лечение, протезирование и имплантация — процедуры, требующие учета многих факторов, от которых зависит цена.
Издатель: Экспертный журнал о стоматологии Startsmile.ru
Тончайшие пластины: виниры и люминиры
Если помимо цвета зубов вас не устраивает их форма, вам поможет реставрация передних зубов или процедура виниринга.
В арсенале стоматологов присутствуют как терапевтические, так и ортопедические виниры. Терапевтические — более доступные, но и менее долговечные: могут со временем изменить цвет или сколоться. Они выполняются из композитного материала прямо на зубах пациента и требуют большого опыта и мастерства врача. В отличие от них, ортопедические керамические виниры производятся в специальной лаборатории и могут прослужить всю жизнь. Разные клинические случаи требуют разной степени обточки зубов, а установив люминиры на зубы, можно обойтись без стачивания и получить высокий эстетический результат.

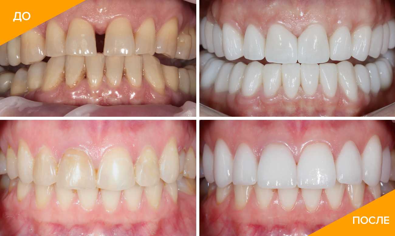
Фото до и после установки виниров в клинике SDent ортопедом Мамедовым И.В


















































